症例7解答、解説、討論記録

解答:神経内分泌腫瘍 NET G2
[解説、討論]
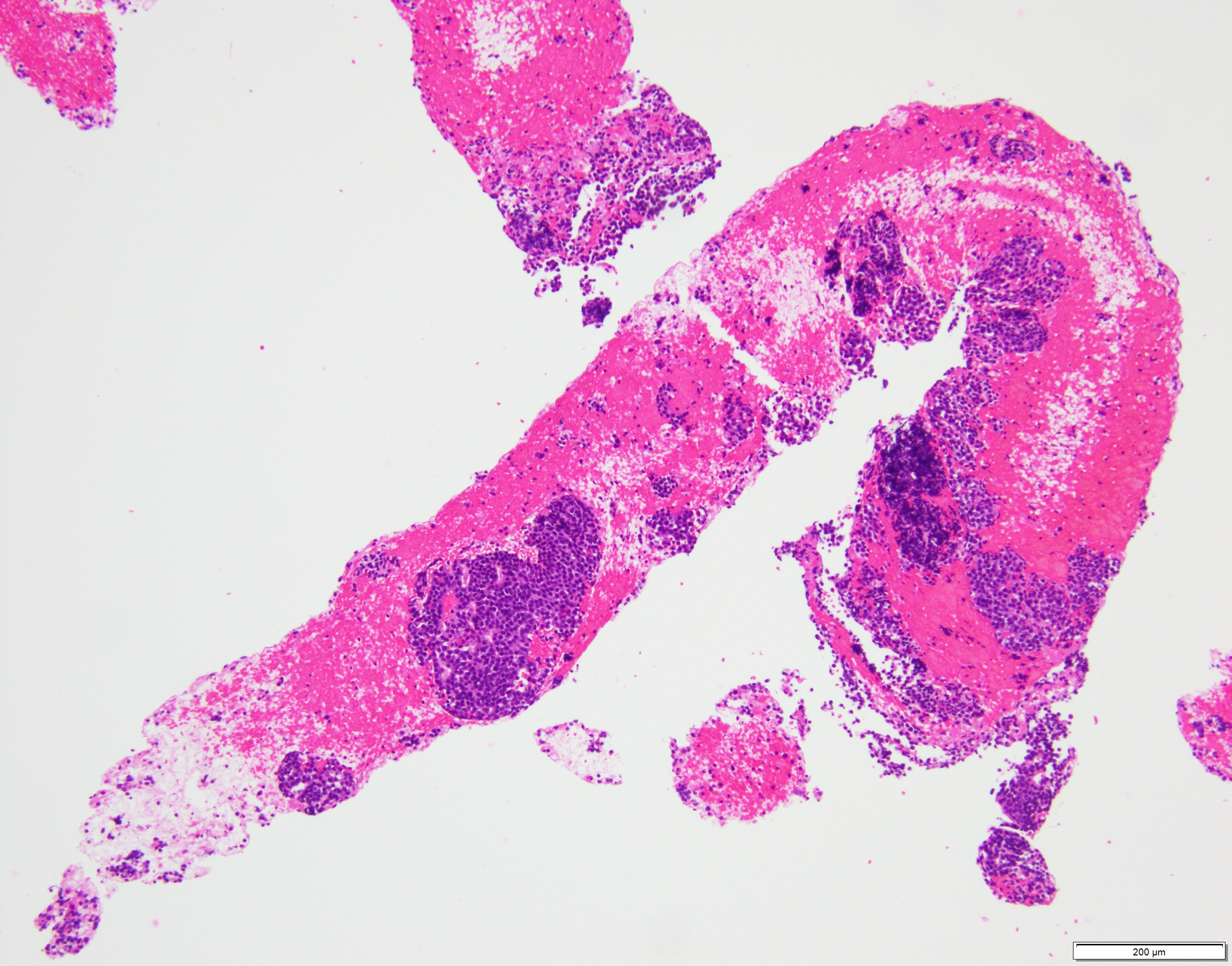
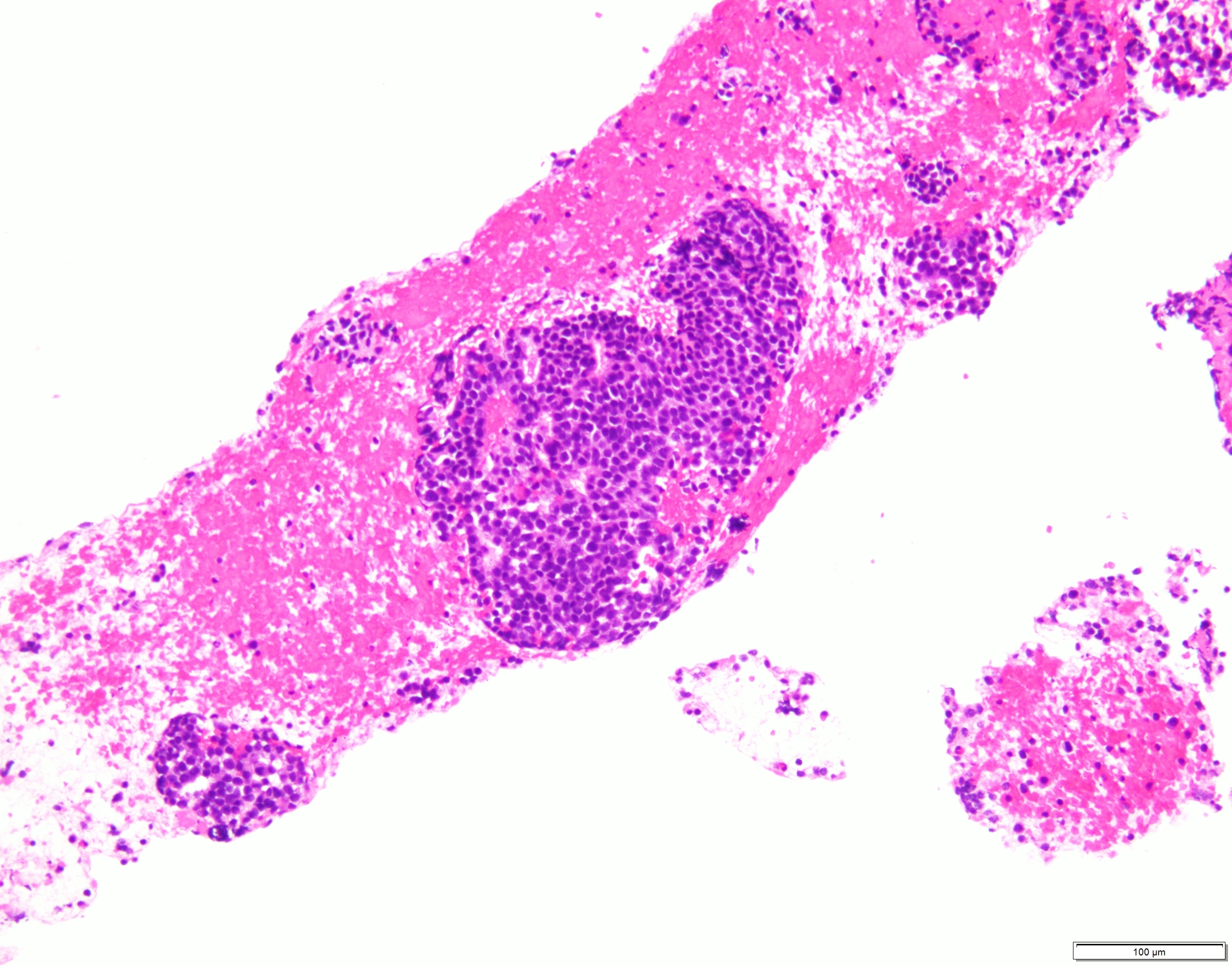
比較的小型で類円形核を有するN/C比の高い細胞が集簇性〜孤立性に多数認められた。
出現している異型細胞は一様で核線の形成やロゼット様の構造を認め、NETを推定した。
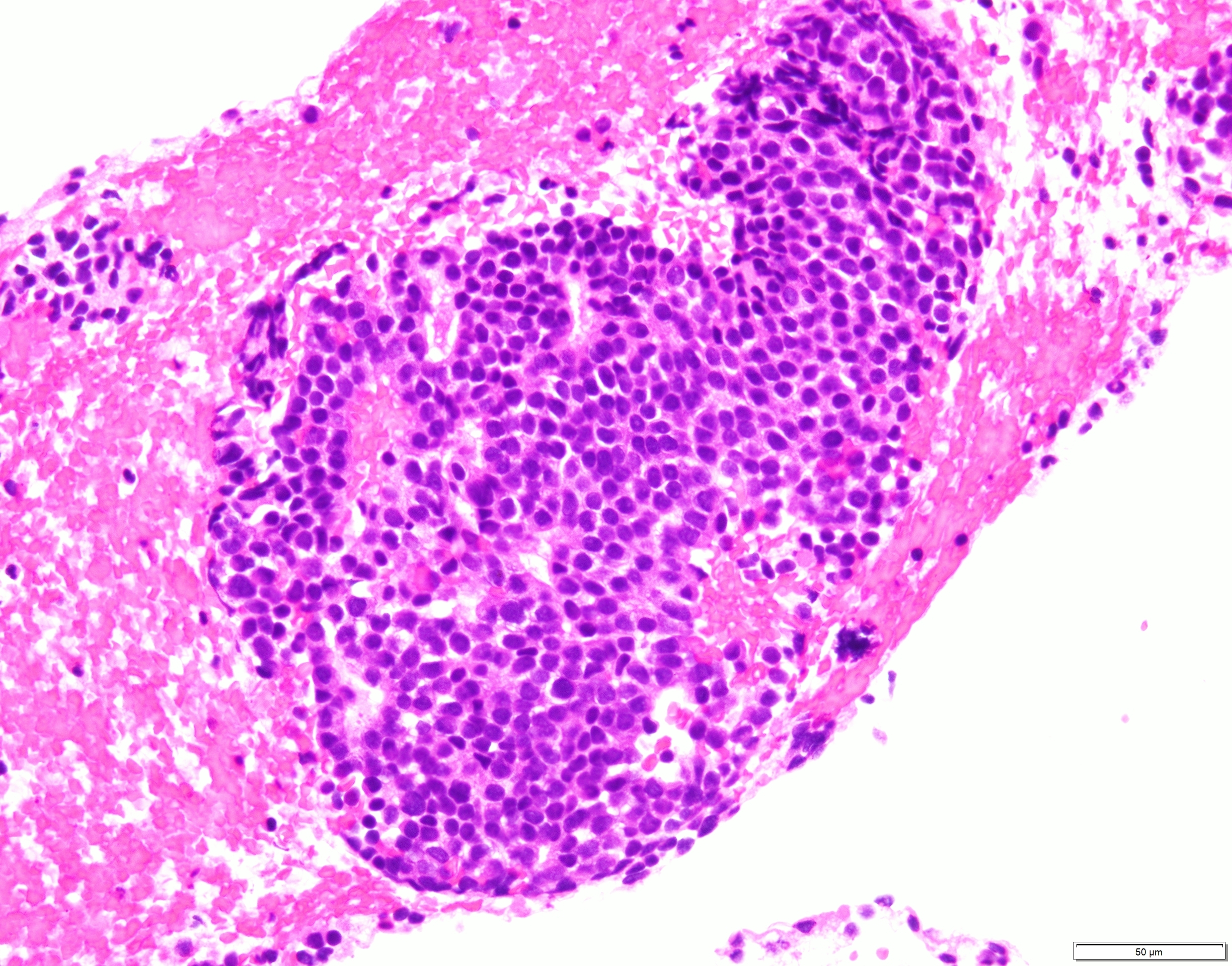
異型細胞が血管間質を伴うように出現する箇所も見られ、細胞の形態からもSPNとの鑑別を要する細胞像であるとの意見もあった。
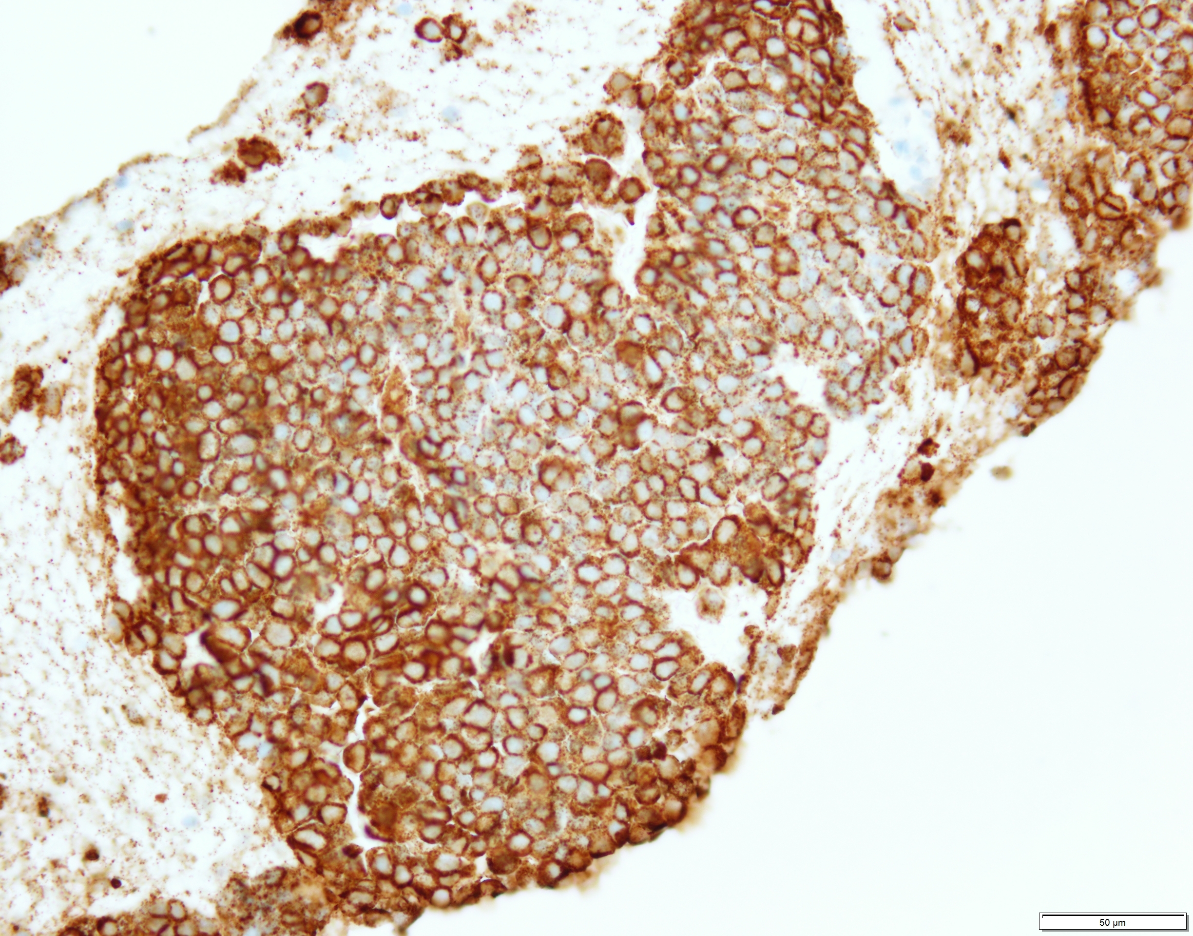
組織でも同様の異型細胞を認め、クロモグラニン陽性、MIB-1 LI 15%、ER陰性、GATA3陰性を呈し、NET G2と診断された。
またFNAの場で検鏡した標本では腫瘍細胞が合胞状に多数出現し、ロゼット様配列などの特徴的な所見を十分に取れず、
その場でNETを推定するのは困難との意見もみられた。

4枚の画像があります。
画像をクリックすると拡大表示されます。
拡大画像のブラウザ戻るボタンで一覧に戻ります。

HE×10 HE×20 HE×40 クロモグラニン×40

症例に戻る