症例4泌尿器投票
臨床情報を見る
症例選択に戻る
12枚の画像があります。
画像をクリックすると拡大表示されます。
拡大画像のブラウザ戻るボタンで一覧に戻ります。
Pap×10
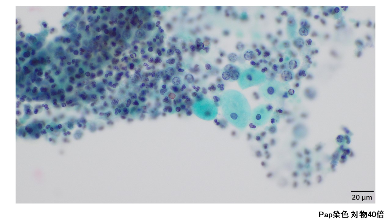
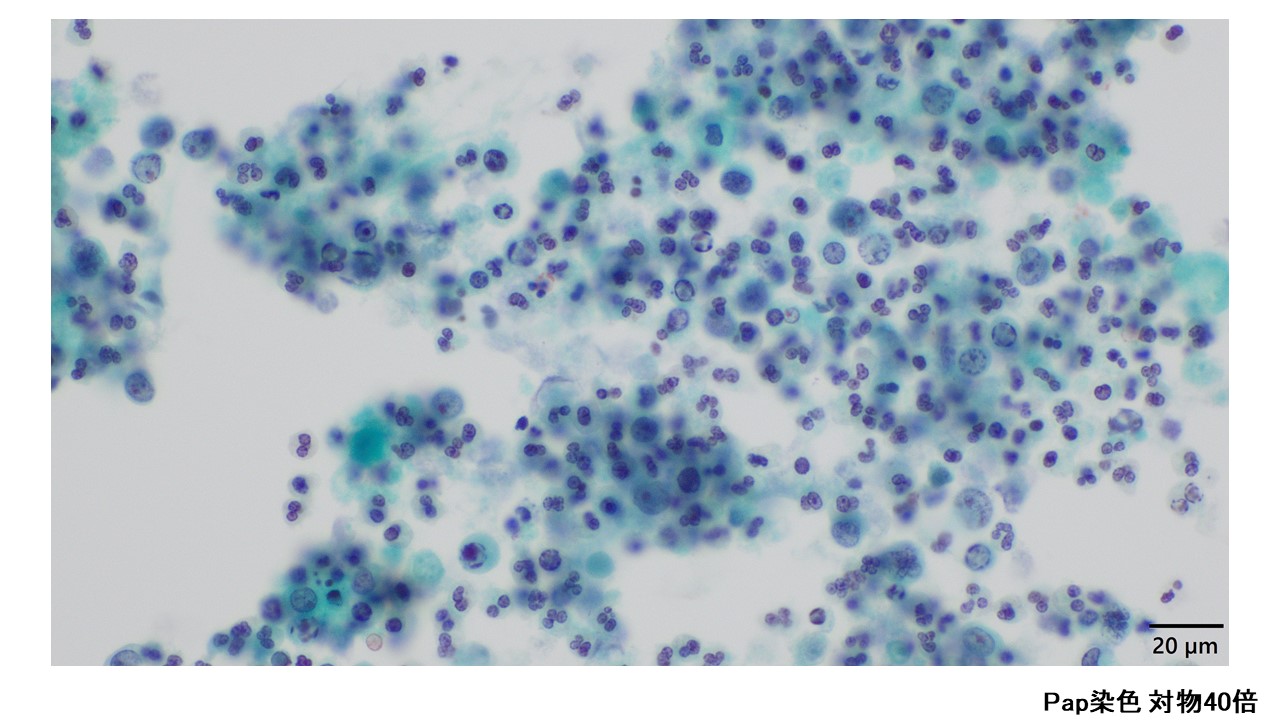
Pap×40
Pap×10
Pap×40
Pap×10
Pap×40
Pap(LBC)×10
Pap(LBC)×40
Pap(LBC)×10
Pap(LBC)×40
Giemsa×10
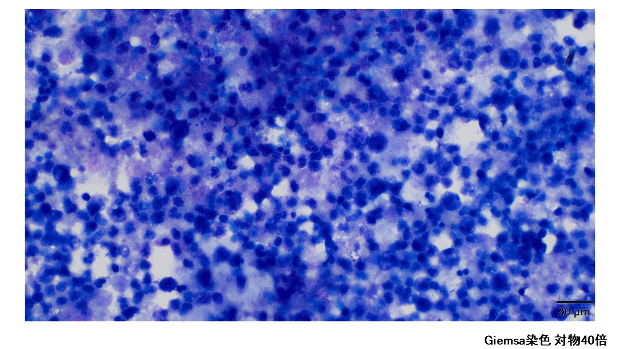
Giemsa×40
読み込んでいます…