症例9解答、解説、討論記録

解答:未分化大細胞型リンパ腫(ALCL)
[解説、討論]
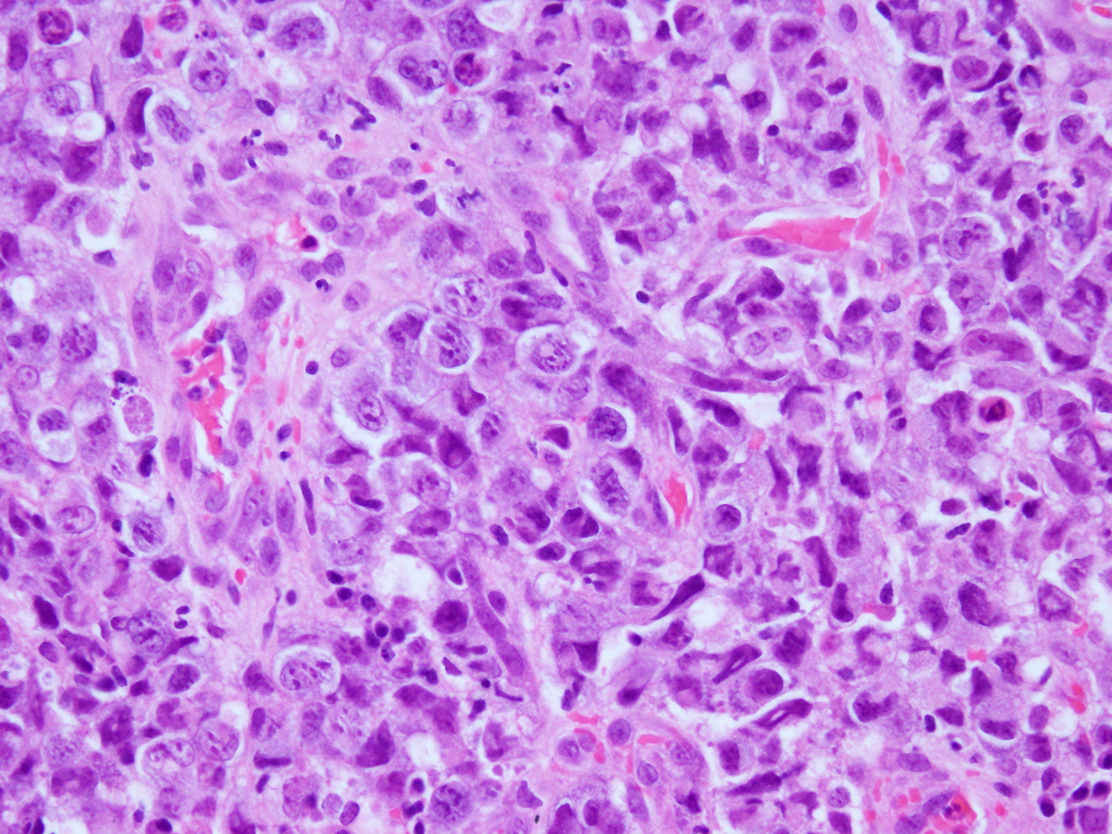
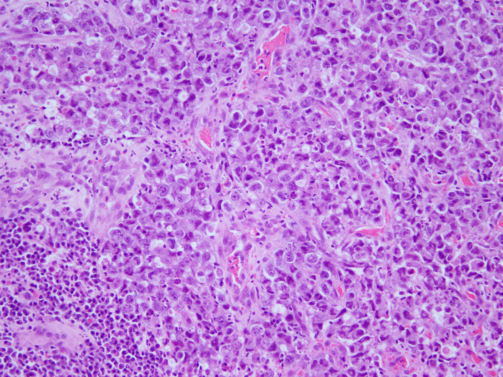
炎症性背景に、NC比増大、核形不整、核小体肥大を示す大型の細胞が弧在性に多数認められた。異型細胞は核異型が強く、一部、結合性を示すような細胞もみられた。
ギムザでは好塩基性を示す細胞や細胞質内空砲を認め、二核や馬蹄形核、ドーナツ状核を有する細胞も多くみられたことから、未分化大細胞型リンパ腫と診断した。(sIL-2Rは27598.1と高値)
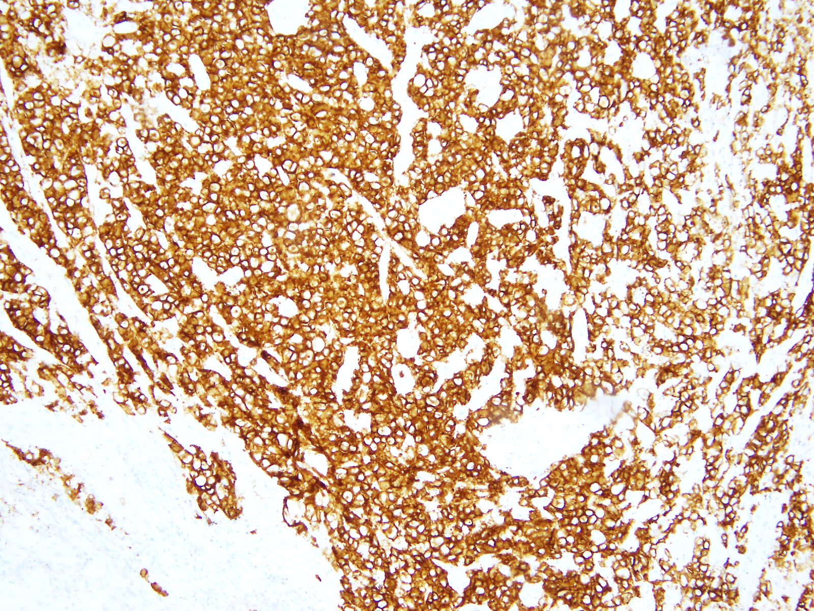
同時に提出された胃生検の免疫染色で、上皮性のマーカーやCD3、CD20は(−)、ALK-1(+)、CD30(+)で、ALK陽性未分化大細胞型リンパ腫と診断された。

未分化大細胞型リンパ腫は大型の細胞がみられ、核異型が強く、結合性を示すものもある。そのため、ホジキンリンパ腫や癌との鑑別を要する。
細胞質内空砲が多数みられ、ギムザで好塩基性を示すことからリンパ腫が示唆される。
また、小リンパ球主体ではなく、異型の強い細胞が大半を占めていることからホジキンリンパ腫とも鑑別は可能である。
馬蹄形核、ドーナツ状核は未分化大細胞型リンパ腫の特徴的な細胞像であり、特徴を知っていれば診断可能な症例でもあるため今回症例提示した。

4枚の画像があります。
画像をクリックすると拡大表示されます。
拡大画像のブラウザ戻るボタンで一覧に戻ります。

HE×10 HE×20 ALK-1×10 CD30×10

症例に戻る