症例8解答、解説、討論記録

解答:マラコプラキア
[細胞診所見]
好中球や扁平上皮細胞とともに、ライトグリーンに好染し泡沫状を呈する比較的大型の組織球(von Hansemann cell)が出現している。
これら組織球の胞体内には、小球状のMichaelis-Gutmannを1〜複数個認める。マラコプラキアが疑われる像である。
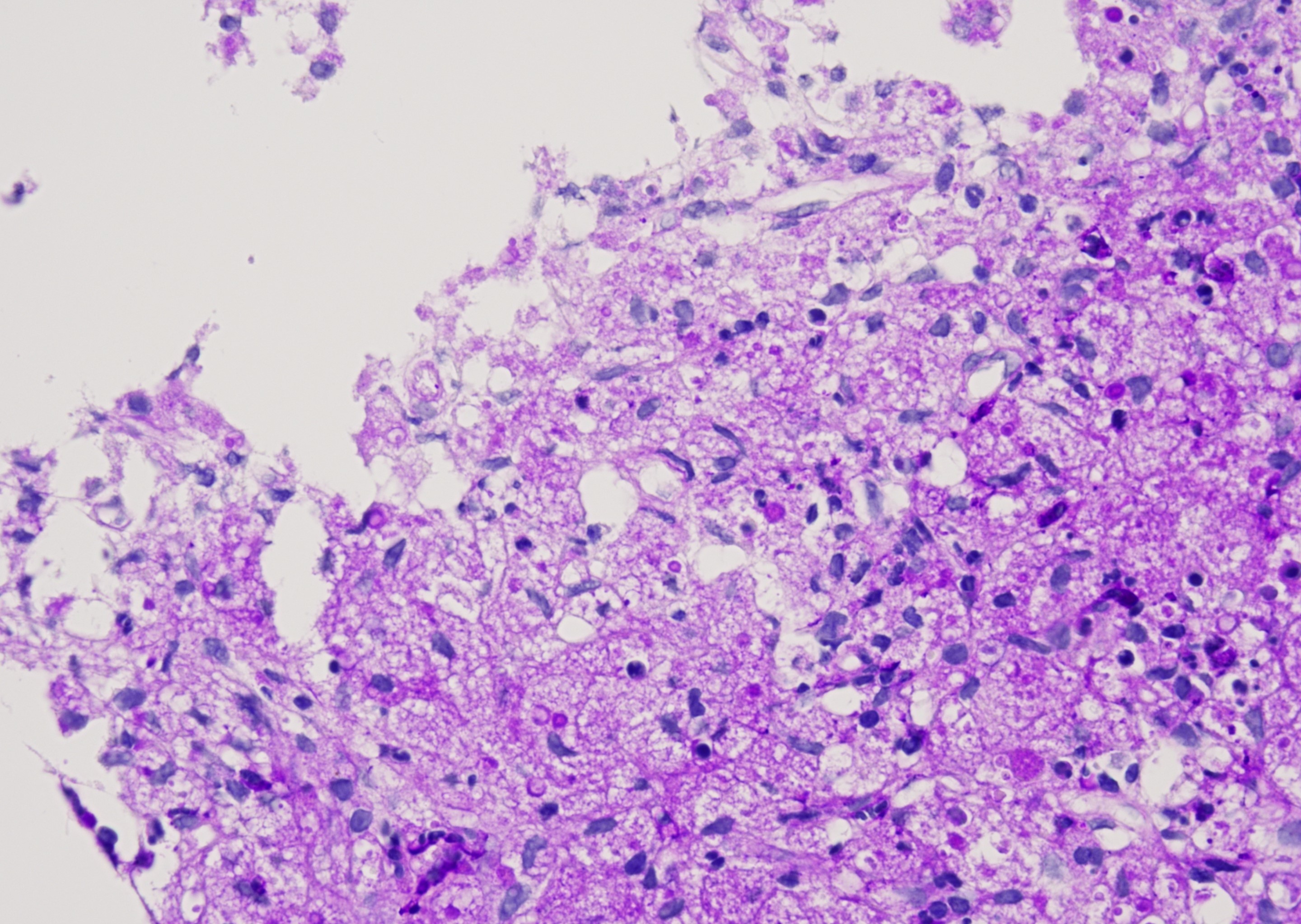
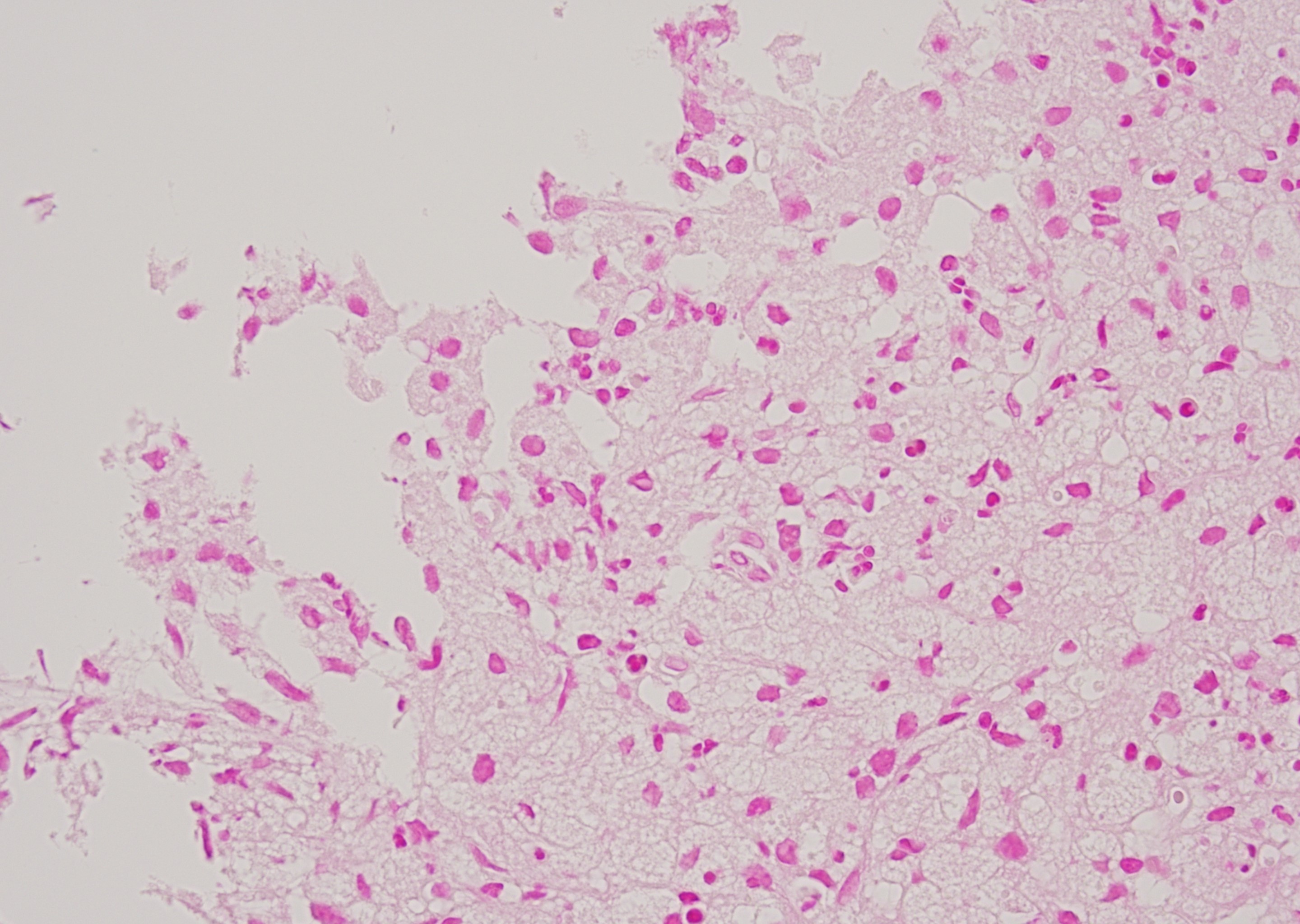
[組織診所見]
組織学的には膀胱粘膜の粘膜固有層に当たる部分に組織球(泡沫細胞)が密に増殖している。
これら組織球の細胞質内にはヘマトキシリンに染まる球状物質を認め、PAS染色で陽性となることからMichaelis-Gutmann (M-G)小体が考えられる。
以上の所見よりマラコプラキアと診断された。
[マラコプラキアについて]
マラコプラキアは主に尿路生殖器系臓器にみられる慢性肉芽腫性疾患であり、しばしば癌腫などの腫瘍性病変と誤認されやすい。
大腸菌属の慢性的な感染、マクロファージによる菌体処理能との関連が指摘されているが、詳細な機序については不明な点が多い。
Michaelis-Gutmann bodyを有するvon Hansemann細胞(肉芽腫内の組織球)の出現が診断に重要である。
免疫染色ではマラコプラキアと診断する良いマーカーはない。
部位別発生頻度:膀胱70%、前立腺16%、腎臓4%。
好発年齢:40-60歳
男女比:1:4
病変は膀胱粘膜に黄白色調の多隆起病変を形成することが一般的で、膀胱三角部に好発する。
MG小体は大腸菌などの細菌の細胞壁の破砕物を核として、リン酸カルシウムが層状に沈着したものと考えられている。
MG小体を有するvon Hansemann細胞が尿中に出現することは数%と非常に低く、診断に至らない場合が多い。これはマラコプラキアが正常の尿路上皮によって覆われているからである。
[Michaelis-Gutmann bodyについて]
Fe染色、PAS染色、コッサ染色(+) MG小体はベルリン青染色やコッサ法では陽性率が低い。これは含まれるFeとCaの量に左右されると考えられている。
MG小体のX線微小分析によると、FeはMG小体形成過程の中期に著名な増加を示し、後期になると減退する。Caは後期、完成期に著名な増加を示すことが大井らにより報告されている。
[鑑別点について]
ICL vs MG小体
 Intracytoplasmic Lumina(ICL)
 出現する疾患:尿路上皮癌(特に腺様分化)
 出現する細胞:腫瘍性尿路上皮細胞
 形態:明瞭な空胞状腔構造(透明または淡明)、腺管様、単発または多発
 大きさ:やや大きく、細胞質の中で空洞のように目立つ
 数:1細胞に1つ以上、多発することもある
 染色性:PAS ±、ムチン染色(mucicarmine)で陽性のことも
 内容物:粘液、分泌物など(空洞に見えるが分泌成分あり)
 背景:高異型度腫瘍細胞の集塊、核異型あり
 意義:腺様分化の証拠 → 尿路上皮癌の一形態
 Michaelis-Gutmann小体(MG小体)
 出現する疾患:マラコプラキア(感染性炎症)
 出現する細胞:マクロファージ(von Hansemann細胞)
 形態:同心円状の小体、やや高密度、層構造を伴う、丸く明瞭
 大きさ:やや小さく緻密、核と同程度かやや小さい
 数:通常1細胞に1〜数個
 染色性:PAS陽性、ベルリン青・フォンコッサ染色で陽性(石灰化)
 内容物:無定形の石灰化物、層状構造あり
 背景:慢性炎症細胞背景、好中球やマクロファージが多い
 意義:特徴的所見 → マラコプラキア診断の決め手
[鑑別疾患]
1.マラコプラキア
 von Hansemann細胞、Michaelis-Gutmann小体
 PAS染色、背景に慢性炎症
2.Langerhans細胞組織球症
 Langerhans細胞(核に溝)
 CD1a+、 S100+、 Langerin+。電子顕微鏡でBirbeck顆粒
3.Rosai-Dorfman病
  大型組織球(好酸性細胞質)、細胞質内にリンパ球・形質細胞(emperipolesis)
 S100陽性かつCD1a陰性
4.Xanthogranulomatous cystitis(黄色肉芽腫性膀胱炎)
 泡沫細胞、巨細胞
※マラコプラキアと他疾患の主たる鑑別点はMG小体の有無である
[結語]
臨床的には膀胱腫瘍の疑いとされることが多く、患者への侵襲の少ない尿細胞診において診断することは重要である。
比較的マクロファージの目立つ場合は、黄色肉芽腫やマラコプラキアの可能性を念頭に置く必要がある。

5枚の画像があります。
画像をクリックすると拡大表示されます。
拡大画像のブラウザ戻るボタンで一覧に戻ります。

HE×4 HE×60 HE PAS染色 ベルリン青染色

症例に戻る