症例6解答、解説、討論記録

解答:多形腺腫
[解説、討論]
Giemsa染色で異染性を示す間質粘液と、円形〜紡錘形の筋上皮細胞、円〜類円形の核で均一な大きさの結合性良好な上皮細胞集塊がみられる。
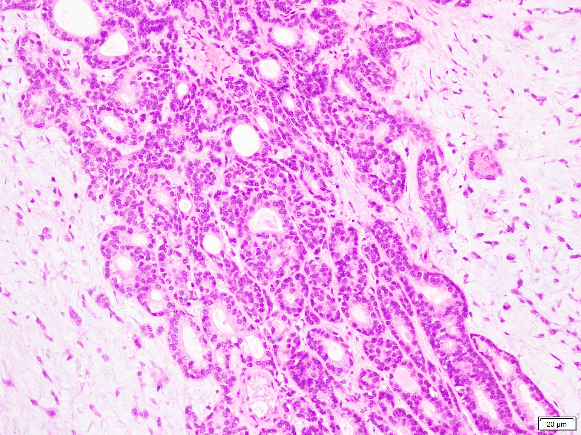
組織標本では、豊富な粘液腫状基質に、星芒状・短紡錘形の筋上皮細胞成分と、管状を示す腺管上皮成分を認める。
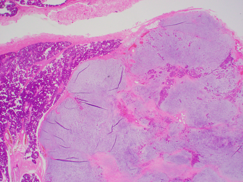
腫瘍辺縁には圧排され菲薄化した唾液腺被膜・小葉間結合織を認める。悪性を疑う像は明らかではない。
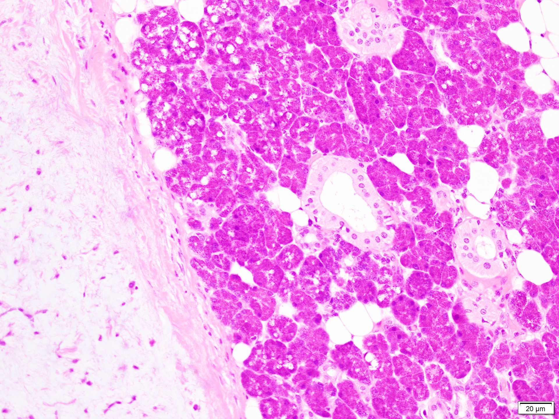
細胞像弱拡大写真でみられる右側の大きな上皮細胞集塊について質問があったが、腫瘍細胞ではなく腫瘍周囲の腺房細胞で、検体採取時の混入と考える。
稀少症例や難解症例ではないが、耳鼻科の標本を見る機会が少ないご施設もあろうと考え、
唾液腺に発生する最も頻度の高い良性腫瘍である多形腺腫の典型像として今回あえてここに供覧した。

5枚の画像があります。
画像をクリックすると拡大表示されます。
拡大画像のブラウザ戻るボタンで一覧に戻ります。

×4 ×20 ×20 ×20

症例に戻る