症例5解答、解説、討論記録

解答:神経内分泌腫瘍
[解説、討論]
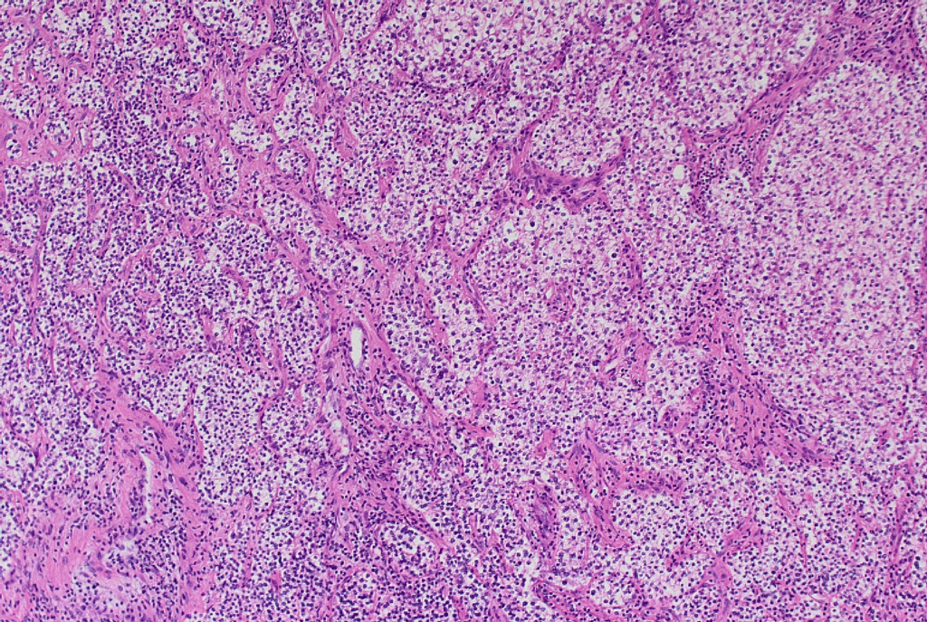
細胞像は裸核状で大小不同がみられるが、核形不整には乏しい細胞が多くみられる。
討論では悪性リンパ腫や甲状腺髄様癌の細胞が疑われたが、よく分からなかいとの意見が多数であった。
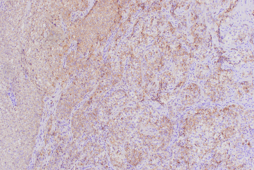
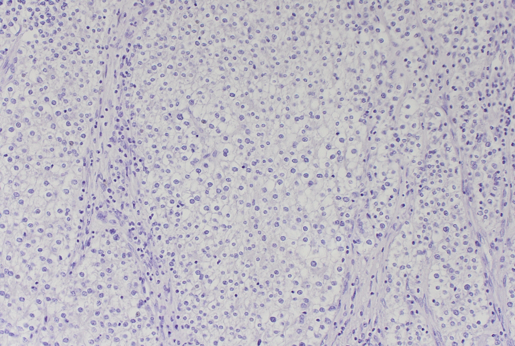
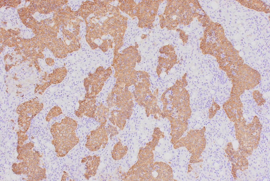
手術後の組織診の免疫染色にてカルシトニン陰性、クロモグラニンAとシナプトフィジン陽性の結果より、副甲状腺癌と診断された症例であった。
解説後、改めて細胞像を観察し、神経内分泌腫瘍の細胞であることを確認した。

4枚の画像があります。
画像をクリックすると拡大表示されます。
拡大画像のブラウザ戻るボタンで一覧に戻ります。

HE カルシトニン クロモグラニン シナプトフィジン

症例に戻る