症例4解答、解説、討論記録

解答:小葉癌および非浸潤性乳管癌
[解説、討論]
60歳代女性、右乳房Dから、2回行われた穿刺吸引検体を提示しました。
1回目は壊死性背景の中、核異型高度の癌細胞が集塊状、孤立性に出現しています。
二核細胞もあり核小体も目立ちます。細胞質は広く顆粒状、厚みがあり、核偏在傾向です。また、細胞質内小腺腔(ICL)を多数認めます。
2回目(約9か月後)の細胞所見は1回目と類似形態ながらやや小型で、結合性を有する集塊が主体です。
1回目はMalignant(乳管癌)と判定し2回目はSuspicious for malignancy(乳管癌疑い)と判定しています。
討論では特に1回目の細胞形態から小葉癌(多形型)やアポクリン癌、分泌癌、印環細胞癌などを推定するとの意見が上がりました。
乳腺で厚く顆粒状の細胞質を有する異型細胞に遭遇した場合、上記の組織型が鑑別に上がりますが、
ICLの出現頻度や核異型の程度などを注意深く観察することが鑑別に有用と考えます。
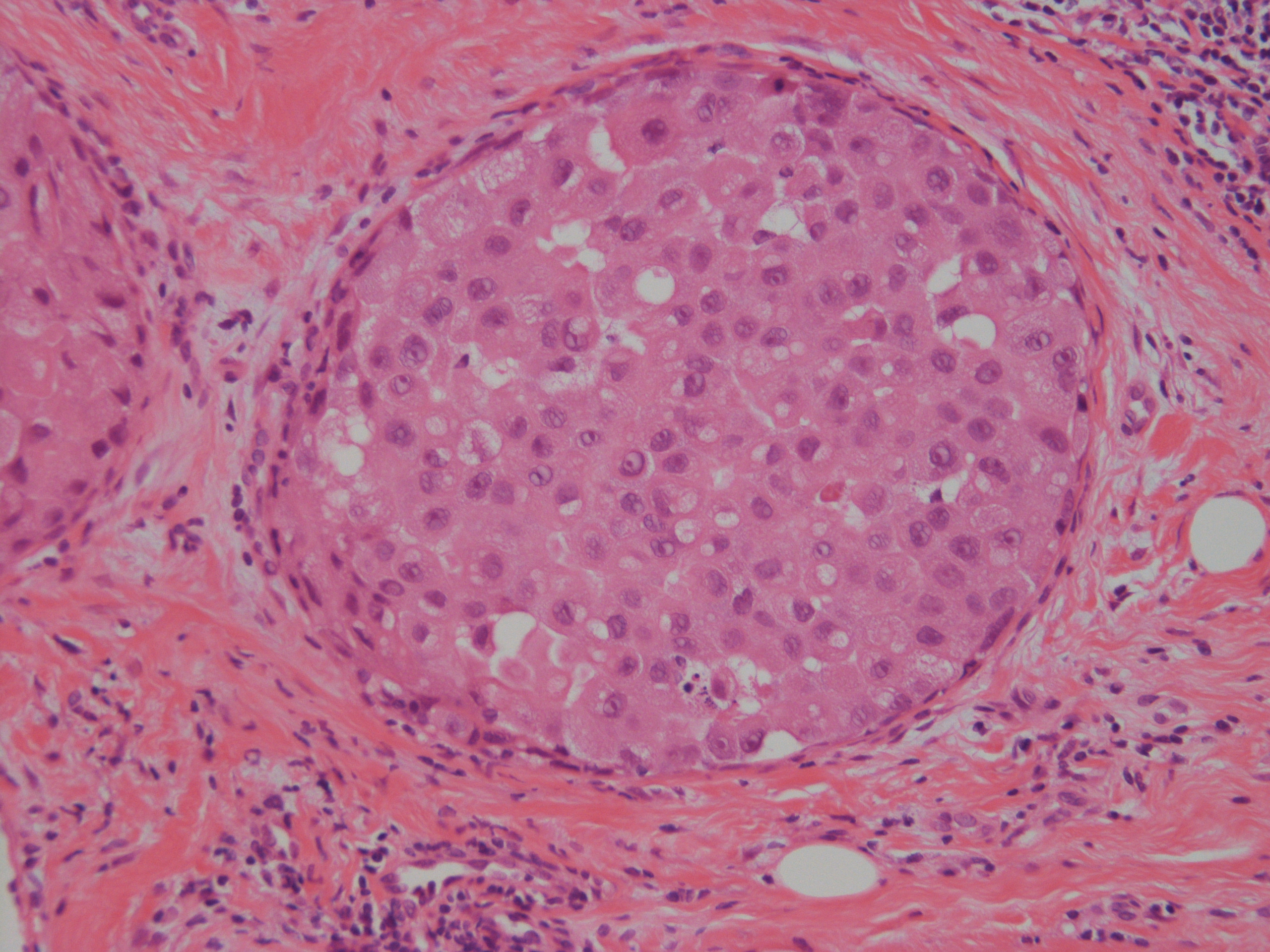
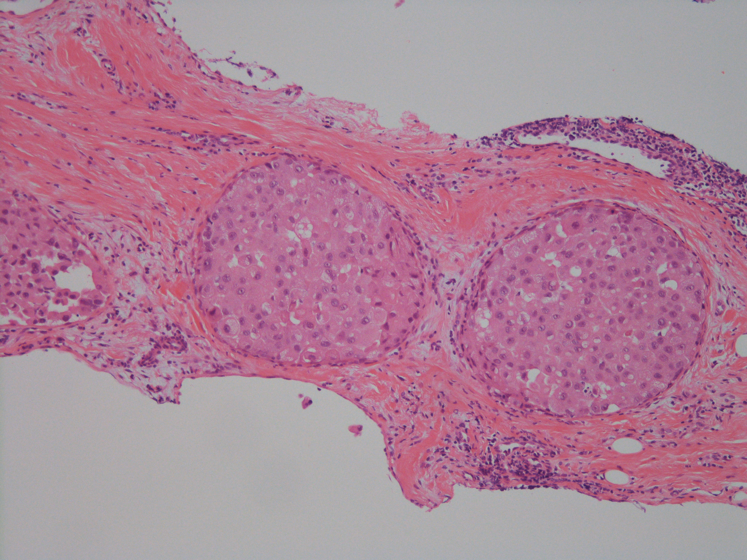
[組織所見]
組織では免疫染色も含め総合的に浸潤部は小葉癌(ER+、 HER2-)であったが、
乳管内癌成分においてもE-cadherinの染色性が減弱しており、非浸潤性乳管癌か非浸潤性小葉癌(多形型)か判断が難しいが、
乳管内癌成分はER-、HER2(3+)で形質発現はクリアカットに分かれ、最終的に非浸潤性乳管癌と診断された。

3枚の画像があります。
画像をクリックすると拡大表示されます。
拡大画像のブラウザ戻るボタンで一覧に戻ります。

症例に戻る