症例2解答、解説、討論記録

解答:淡明細胞型腎細胞癌の転移
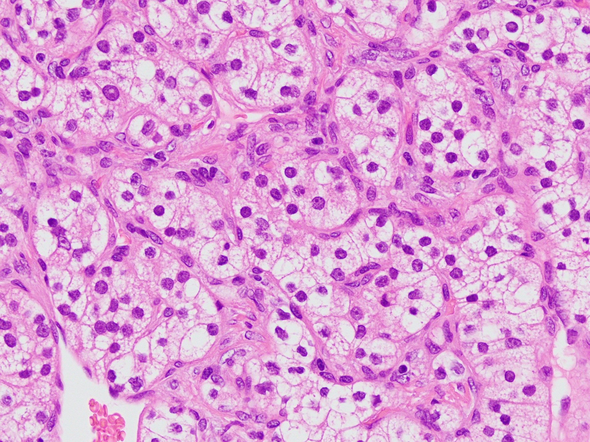
上皮性結合を示す細胞集塊が見られます。
構成細胞は、淡明で豊富な細胞質を有しているのが特徴です(細胞質内にグリコーゲン・脂質を有している)。
核は比較的小型で円形から楕円形を示し、核形の不整が認められます。
また、核小体が明瞭な異型細胞も観察されます。
以上の所見および臨床情報より淡明細胞型腎細胞癌の転移と推察できます。
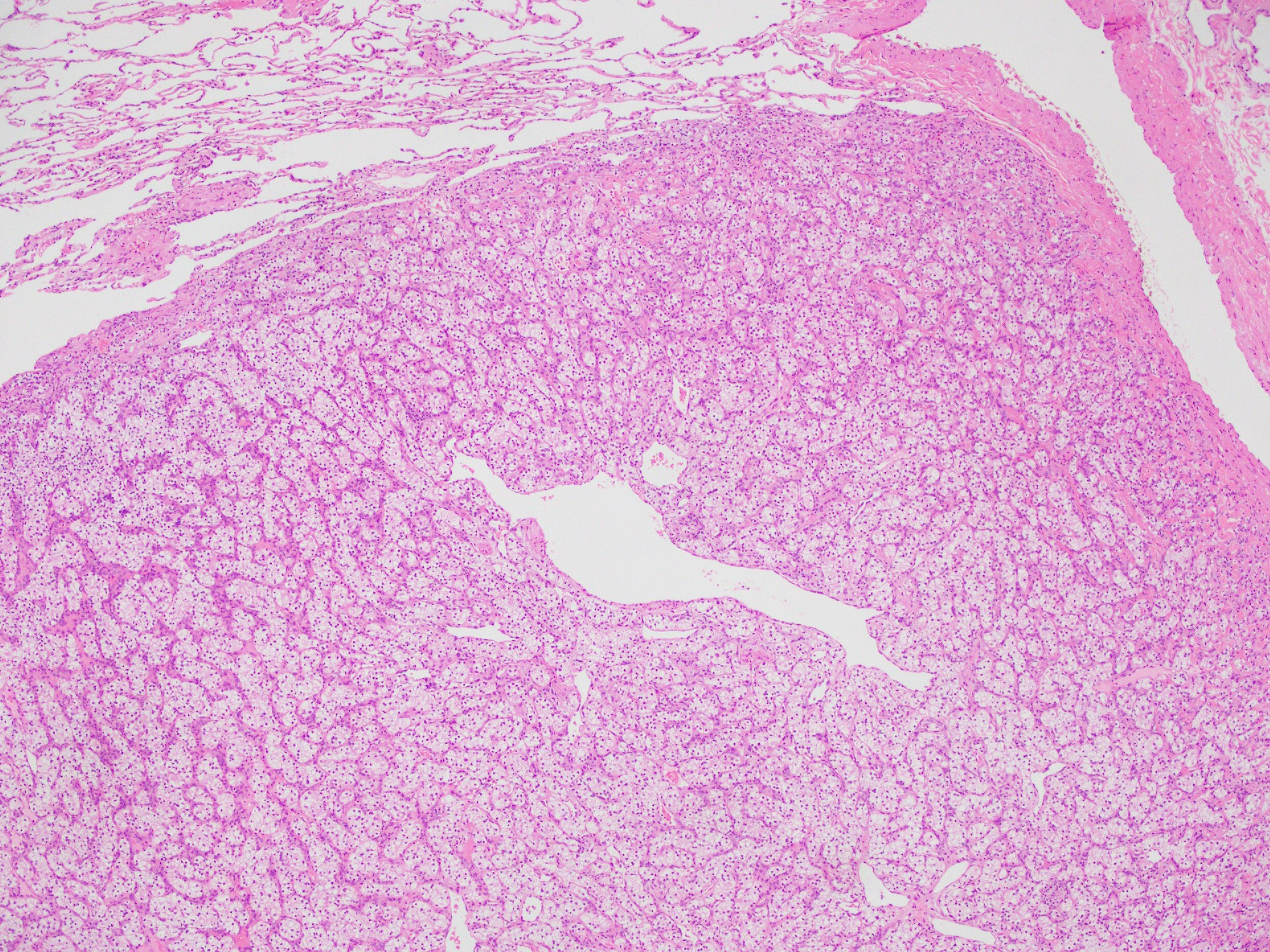
[組織所見]
  小型類円形核と淡明な胞体を有する細胞が繊細な線維血管網宙に胞巣を形成しています。
  免疫組織化学染色ではCD10,Vimenntinが陽性で上記診断を指示する結果でした。
  肺は全身の静脈血が最初に流れ込むため、血行性転移が起こりやすい臓器です。
  そのため、既往歴など臨床情報を把握しておくことも重要と考えます。

3枚の画像があります。
画像をクリックすると拡大表示されます。
拡大画像のブラウザ戻るボタンで一覧に戻ります。

HE×4 HE×40 Vimenntin

症例に戻る