症例10解答、解説、討論記録

解答:神経内分泌腫瘍(Neuroendocrine Tumor: NET)/カルチノイド腫瘍
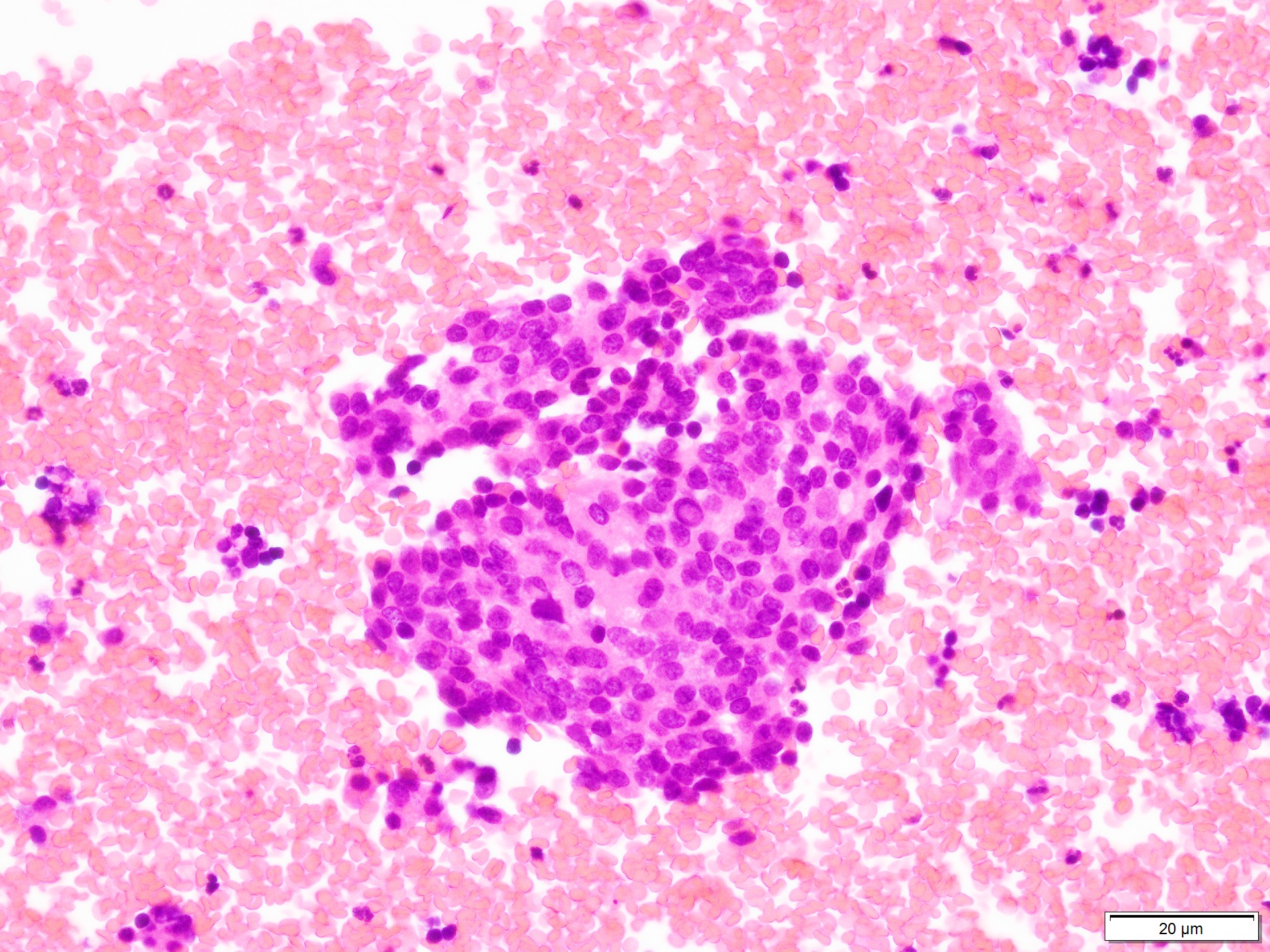
[細胞診所見]
血性背景に、小型で裸核状の異型細胞が、孤立散在性あるいは不規則重積性集塊で多数採取されている。
異型細胞の核はやや緊満感があり、比較的大きさは均一で核形不整は乏しく、クロマチンは粗顆粒状で、小さな核小体が認められる。
特徴的な配列や扁平上皮への分化は明らかではない。背景にリンパ球はみられるが、異型に乏しく、出現数も多くはない。
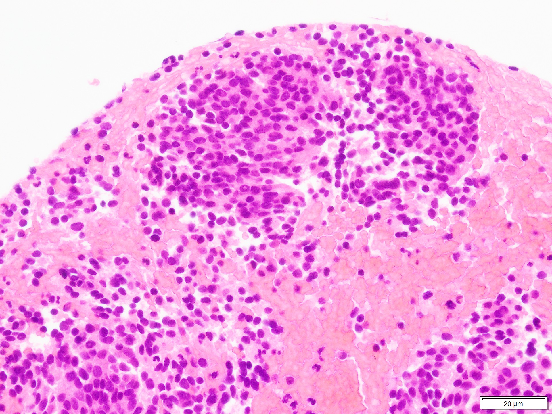
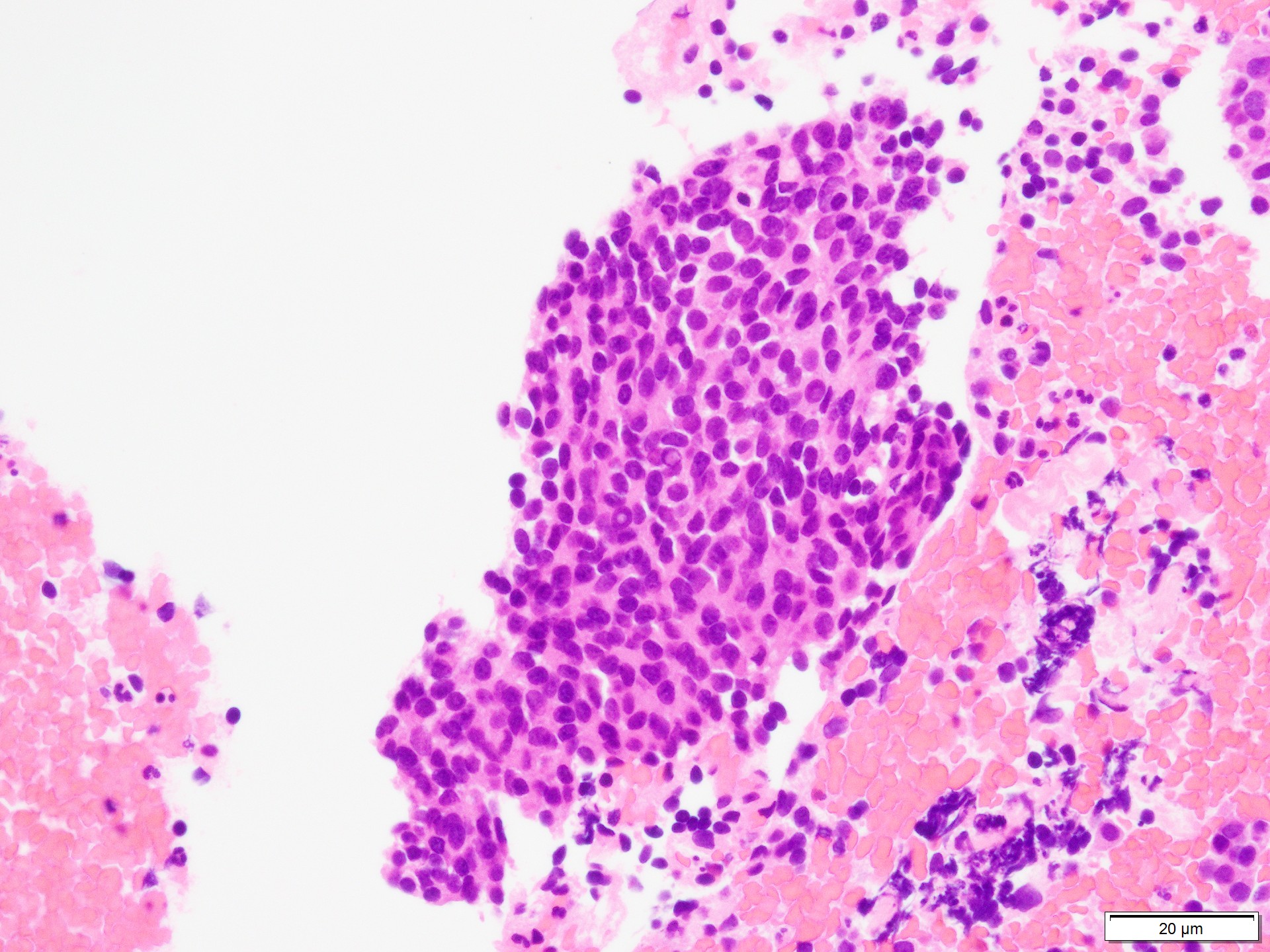
[組織所見]
組織標本では、血液内に無構造でやや粗密を伴う比較的小型の細胞の集塊状の出現を認める。
細胞境界は不明瞭で、細顆粒状のやや狭い細胞質と、比較的均一で類円形の核を有する。
核は粗顆粒状あるいは濃染するが、分裂像の増加は明らかではない。
一部の集塊は層をなすような結合を有するが、柵状配列や扁平上皮への分化は明らかではない。
免疫染色では、CD56・シナプトフィジン・クロモグラニンAが陽性である。
これらの所見から、神経内分泌腫瘍(Neuroendocrine Tumor: NET)/カルチノイド腫瘍が考えられる。小細胞癌は否定的である。

細胞診・組織診とも、核内封入体のような所見があったが、変性によるものではないかとの意見を得た。
なお、胸腺ではカルチノイドの診断名が残っているとのことであった。

5枚の画像があります。
画像をクリックすると拡大表示されます。
拡大画像のブラウザ戻るボタンで一覧に戻ります。

×40 ×40 ×40 ×40 ×40

症例に戻る