症例1解答、解説、討論記録

解答:類内膜癌(Grade1)
[細胞所見]
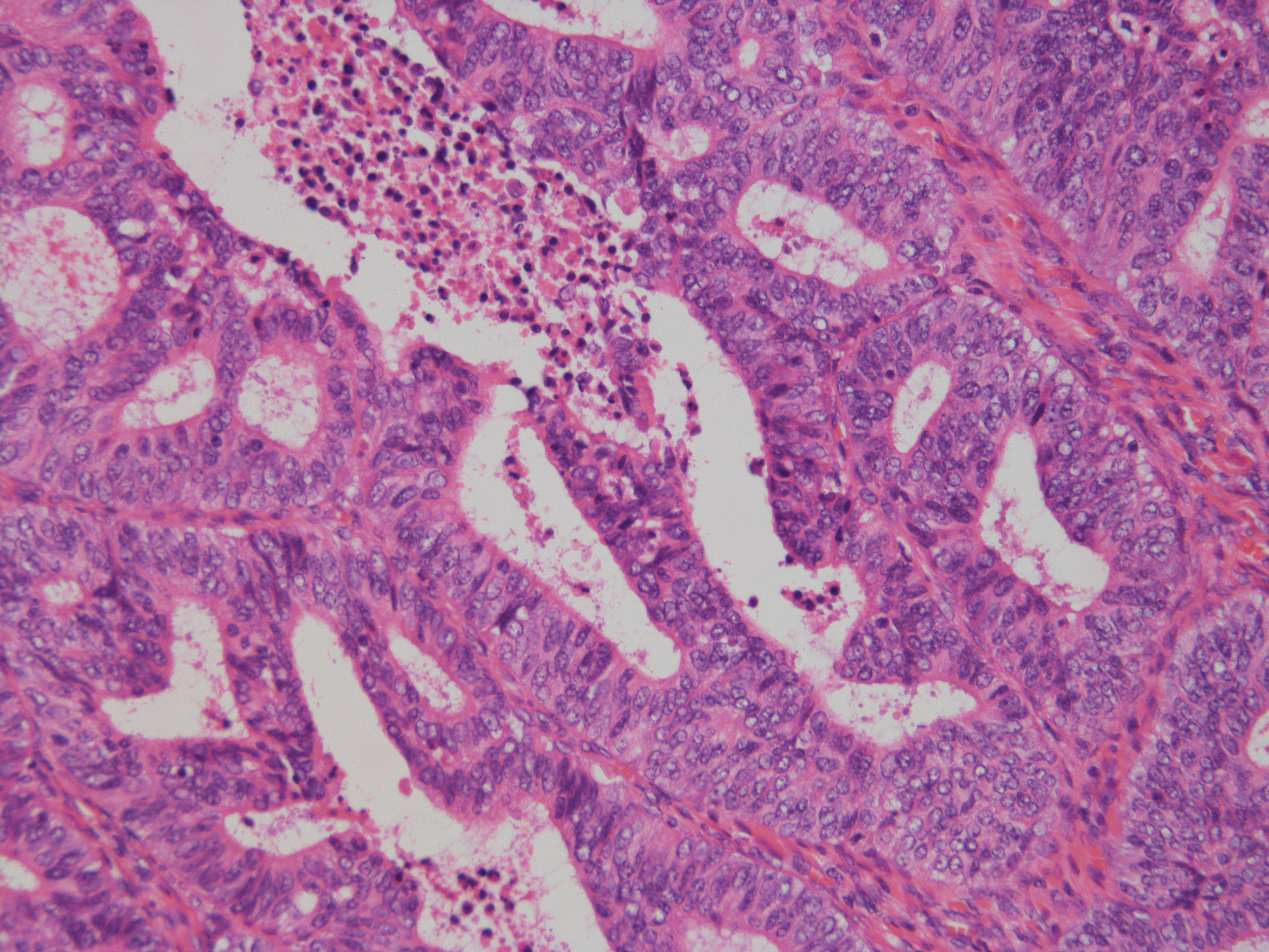
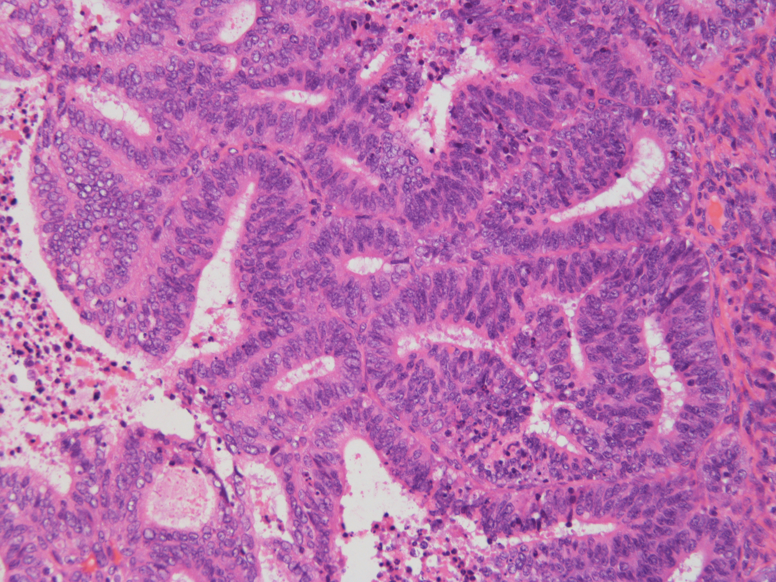
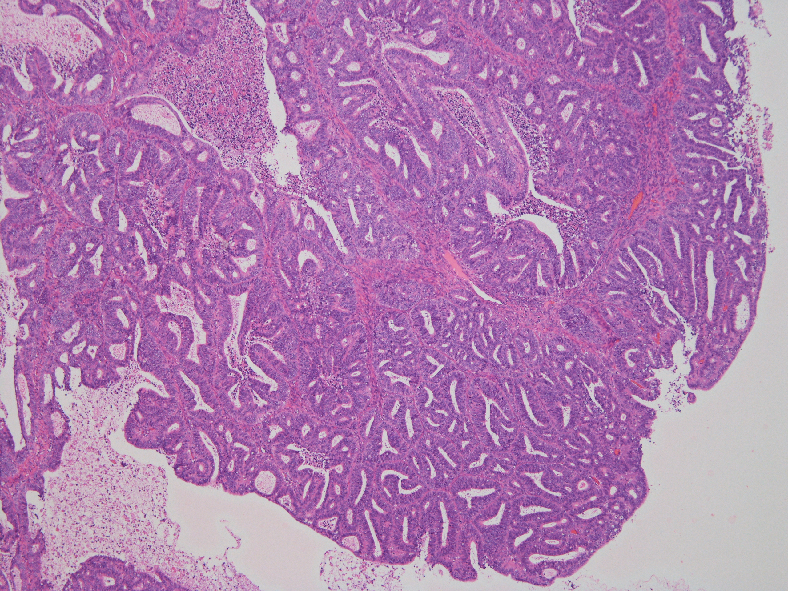
土管状集塊やシート集塊、大型組織様集塊、間質細胞集塊が出現している中に、不整突出集塊をわずかに認めた。
細胞診は、不整形突出集塊が単層で核異型に乏しいため「陰性」と判定したが、
手術標本(子宮摘出)の病理診断は類内膜癌(Grade1)で、手術標本と細胞診の所見に乖離を認めた。
[ディスカッション]
判定が陰性と疑陽性に分かれ、陽性と判定した方はいなかった。
疑陽性とした方からは、「極性の乱れ」があるとのコメントがあった。
渡辺先生より、細胞診の不整形突集塊は「手術標本で子宮内膜増殖症の所見も認められたので子宮内膜増殖症を見ている可能性がある」
とコメントを頂いた。

3枚の解説画像があります。
画像をクリックすると拡大表示されます。
拡大画像のブラウザ戻るボタンで一覧に戻ります。

症例に戻る